Asociación BAOT KOL
michail seldkov Sep 01, 2022

Michail Seldkov de la República de Lituania.

  • Maestro por más de 25 años
  • Fundador del primer laboratorio privado en Bielorrusia.
  • Propietario del laboratorio digital “IQ ProLab” en Lituania

Es un excelente técnico dental y un gran tutor que da maravillosas clases a principiantes en BAOT.

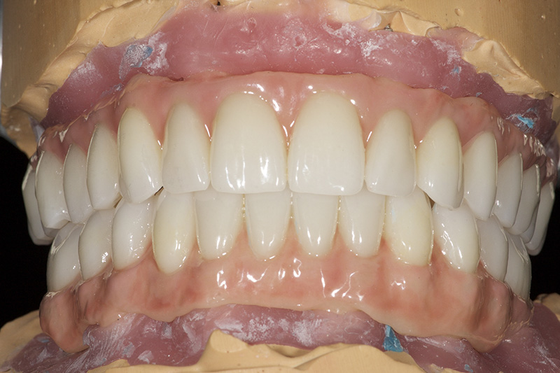
Apreciación de las obras de Michail Seldkov

Polvo de porcelana de material de laboratorio dental

Material de laboratorio dental Polvo de porcelana PFZ

biomaterial dental cerámica porcelana

polvo de cerámica dental para laboratorio dental

dejar un mensaje

dejar un mensaje
si tiene preguntas o sugerencias,por favor déjenos un mensaje,¡le responderemos tan pronto como podamos!

hogar

productos

whatsapp